Treatment of Periodontal Disease
Understanding Periodontal Diseases: Protect Your Gums, Protect Your Smile
Healthy gums are the foundation of a healthy smile. However, periodontal diseases — commonly known as gum disease — can silently damage your oral health if left untreated. Getting professional care at MRK DENTAL in Antalya, Türkiye can help you receive the best treatment and protect your smile for years to come.
What are Periodontal Diseases?
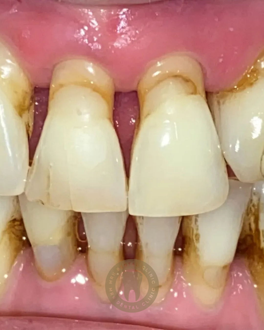
Periodontal diseases are inflammatory conditions affecting the gums and the supporting structures of teeth. These diseases are primarily caused by plaque buildup, a sticky layer of bacteria that forms on the teeth. There are two main stages of gum disease:
Gingivitis: The early stage, characterized by red, swollen, and bleeding gums.
Periodontitis: The advanced stage where the infection spreads below the gum line and can lead to bone loss and tooth loss. Early diagnosis and treatment are crucial to prevent permanent damage.
Common Symptoms of Gum Disease
Periodontal diseases often develop painlessly, so many people don't realize they have a problem. Common symptoms include:
Bleeding when brushing or flossing
Persistent bad breath
Swollen or sensitive gums
Gum recession
Loose teeth
If you experience any of these symptoms, it is important to be examined by a professional dentist as soon as possible.
Causes and Risk Factors
Several factors increase the risk of developing periodontal disease:
Poor oral hygiene
Smoking
Diabetes
Genetic predisposition
Hormonal changes
Stress
Regular dental checkups and proper daily oral care are the best way to reduce these risks.
Treatment Options for Periodontal Disease
Treatment depends on the severity of the condition:
Professional Cleaning: Removal of plaque and tartar located above and below the gum line. Tartar Removal and Root Shaping: Deep cleaning to eliminate bacteria on root surfaces.
Advanced Periodontal Treatment: In severe cases, surgical procedures may be necessary to restore gum and bone health.
